Case: 83 yo M complaining of malaise. Appears weak.
This case has two questions/tasks:
Click here for a hint The diagnosis is not to be had from the EKG alone
Click here for an easier hint You can make the diagnosis from the CXR
Click on EKG for the same EKG in PDF format for zooming and printing
EKG interpretation (click to view)
(click on x-rays for higher resolution images)
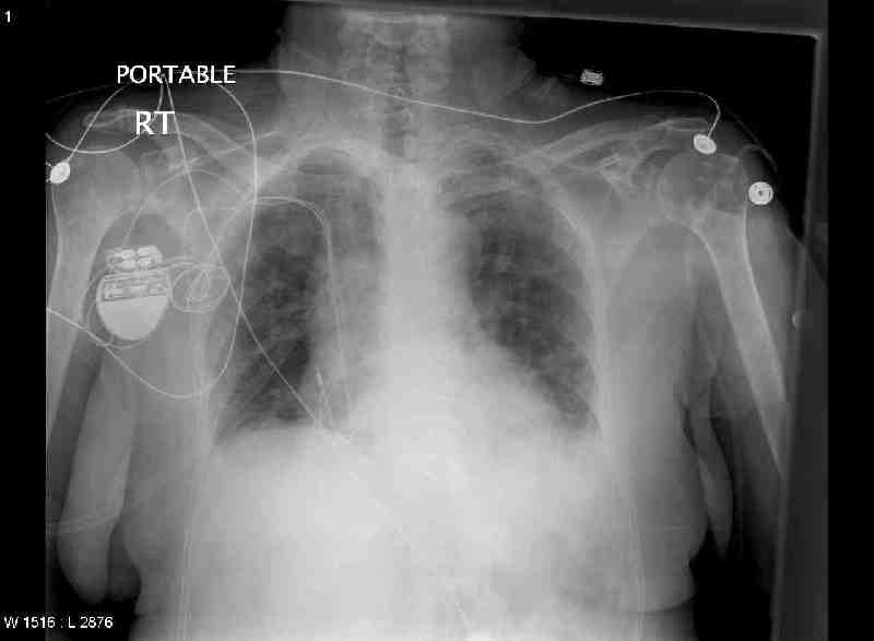
CXR Day 0 (admission day) 4pm
Study Description: CH1/PO
Reason for Study: syncope
Body
No prior studies. Dual chamber pacemaker is adequately
positioned. Small lung volumes are bibasilar atelectasis. No air space
consolidation or frank pulmonary edema.
Impression: pacemaker. Small lung volumes with bibasilar atelectasis and vascular crowding
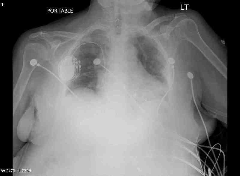
CXR Day 0 (admission day) 8:30pm
Study Description: CHPORT
Reason for Study: LINE REPLACEMENT
Body
The chest is overall improved since the previous study with a
new left subclavian line in place. No evidence for pneumothorax is present.
Pacemakers in place.
Impression: good position of the central line.
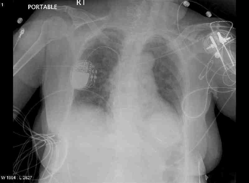
CXR Day 1
Study Description: CHPORT
Reason for Study: POST OP PACEMAKER
Clinical History: Postoperative pacemaker placement
Technique: A portable AP view of the chest was obtained.
Comparison: None
Findings: A pacing device is situated over the right anterior lateral chest wall. The pacer leads are situated over the right atrium and ventricle. There is pulmonary vascular congestion.
Impression: Pulmonary vascular congestion. Dual lead pacemaker placement as above.
CXR Day 2
Study Description: CHPORT
Reason for Study: 83 Y/O F PACEMAKER FAILURE
Body
There is no change in the appearance of the chest since the previous
examination. The various tubes remain in place.
Impression: No significant change.